- 当前位置: 首页 > 根管治疗
- 根管治疗知多少——轻松解读根管治疗
- 来源:康贝佳口腔 发布时间:2017-07-05 13:29
当问到对于牙疼或牙齿治疗,顾客问的更多的问题是什么?康贝佳口腔医师表示 “什么是根管治疗?” 这个问题是顾客存在比较多疑问的。 的确,相比于拔牙、洗牙、补牙这些比较容易理解的概念,根管治疗这一专业词汇确实对患者来说比较陌生。
为了解决大家的困惑,康贝佳口腔精心整理了根管治疗的相关知识,包括什么是根管治疗,具体治疗过程以及 治疗过程中的常见问题等等,让您可以更清楚的认识根管治疗。

一、什么是根管治疗?
根管治疗术又称牙髓治疗,也是我们常说杀神经,针对牙齿、牙髓、根尖病变的一个治疗过程,主要是通过清除根管内的坏死物质,进行适当的消毒,充填根管,以去除根管内容物时对根尖周围组织的不良刺激,防止发生根尖周病变或促进根尖周病变愈合的一种治疗方法。大体上分成清除牙髓、根管塑形预备和根管充填三部分。
二、哪些情况需要做根管治疗?
一般来讲,对于那些牙髓炎,牙髓坏死,各种类型的根尖周炎都适于作根管治疗,包括由于龋齿、隐裂、过度消耗等引起的牙髓炎及牙髓坏死不能保留活髓的情况,可以考虑根管治疗。

三、根管治疗要多长时间、具体过程是怎样的?
一般来说,根管治疗需要就诊2-4次,用时2-3周。
根管治疗通常包括三个基本步骤:根管预备、根管消毒、根管充填。
首先会清除根管内的炎症牙髓和坏死物质,接下来测量根管长度,并适当扩大根管(即根管预备过程),然后在根管内封药消毒,最后用药物充填根管。
四、为什么根管治疗需要杀神经?
当牙髓已遭受感染或不可复性损害时,如果牙髓还有部分活力,此时病人就会感到疼痛,为了减轻患者的症状,同时将病变牙髓清理干净,防止感染的进一步发展,就需要拔除牙髓神经,进行根管治疗。>>>根管治疗疼不疼?在线咨询<<<
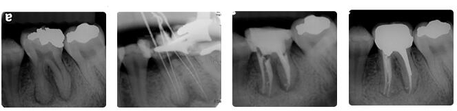
五、为什么根管治疗需要拍多张牙片?
根管治疗时,拍牙片是很有必要的,并且至少要保障3张牙片。
第一张在治疗前,帮助医生了解牙根的基本情况,制定治疗计划;
第二张在治疗中,帮助医生了解治疗情况,如根管预备是否到位等,并制定下一步治疗方案;
第三张是在治疗结束后,帮助判定根管充填质量,发现问题及时补救。

六、根管治疗后为什么还需要做全冠保护?
很多病人不理解,为什么在根管治疗后,牙齿不疼了,补上就可以了,为什么还要做全冠保护,觉得没有必要。
事实上在根管治疗后,没有牙髓提供营养的牙齿会变暗、变脆,剩余的牙冠部分很容易折断劈裂,导致牙齿使用寿命减少,因此根管治疗后需做全冠对其进行保护。>>>牙冠材料如何选择?在线咨询<<<
七、根管治疗是否安全?
根管治疗的确是较为复杂,使用的器械多,步骤多,需要经过多个治疗步骤和拍摄多张X光片才能完成整个过程。目前技术已比较成熟,根管治疗的成功率很高,是目前保存患牙较理想的治疗方法。需要特别注意的是,大家一定要到正规医院及牙科诊所进行根管治疗,这样才能真正保障就诊的安全。
【温馨提醒】以上内容就是对“根管治疗”相关问题的介绍,如果您觉得我们的文章没有解释的很清楚,或者还有其他疑问,可直接进行在线咨询,或拔打咨询热线:400-025-0505,在线预约可优先就诊,我们会竭诚为您服务。
--【康贝佳口腔医院就诊指南】--
【网络咨询预约就诊三步走】
★ 第一步:点击 “在线咨询” 按钮,打开网上即时对话窗口;
★ 第二步:预约亲诊医师面对面交流,申请预约号(手机号) ;
★ 第三步:持预约号(手机号)到医院就诊,在导医台出示预约号(手机号),导医全程服务;
地址:南京市鼓楼区新模范马路46号
咨询电话:400-025-0505
- 上一篇:根管治疗哪家医院好
- 下一篇:根管治疗的费用贵不贵?
























